Elbow dysplasia is an abnormal development of the elbow joints in dogs, usually in large purebred breeds such as Labrador retrievers, Bernese mountain dogs, German shepherds, golden retrievers, Rottweilers, St. Bernards and Newfoundlands. Mixed-breed dogs get this problem on occasion.
We tend to see elbow dysplasia in young dogs between 4 and 10 months of age. As these dogs grow from puppy to adult, it is sometimes erroneously thought by owners that their dog’s sore leg or limping is just growing pains and will go away as their dog matures. This does happen in a disease called panosteitis.
Unfortunately, many limping dogs do not have panosteitis. These dogs have elbow dysplasia. When these dogs are accurately diagnosed months later with elbow dysplasia, the problem has progressed and their prognosis for treatment is not as good. Some of these dogs are condemned to a lifetime of soreness and pain as their arthritis progresses.
The elbow is known as the cubital joint and is created by the humerus, radius and ulna coming together in one joint. These three bones make the elbow somewhat different from the shoulder, hip and knee joints, in which only two bones are coming together to form a joint.
Cartilage on the ends of the bones is what produces bone cells as puppies grow. If any portion of the bone-producing cartilage is damaged or doesn’t develop normally, the resulting bones are uneven, misshapen or incomplete. This causes stress and inflammation on an elbow joint that can’t bear weight normally, so we see pain, swelling and lameness in young dogs.

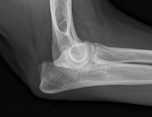
Normal elbow. Images courtesy of Long Beach Animal Hospital (LBAH).

Normal elbow, radiograph.
Biomechanical stresses continue over time and lead to continued cartilage damage, resulting to microscopic cracks in the bone and cartilage. Eventually, fragments breaking loose. This is when the limping from pain and swelling manifests itself.
Elbow dysplasia is a general term for four developmental problems leading to abnormalities in the cubital (elbow) joint:
1. Osteochondritis dissecans (OCD): Abnormal growth causes a chip or a flap in the smooth surface of the cartilage, which sometimes breaks free and irritates the inside of the elbow joint. This is called a joint mouse, and it feels like trying to walk with a stone in your shoe. The area of bone directly underneath the OCD lesion may be thickened or inflamed.
2. Ununited anconeal process (UAP): A small portion of the ulna known as the anconeal process fails to fuse to the rest of the ulna by 5 months of age
3. Fragmented medial coronoid process (FMCP): The medial coronoid processes are two small bony protrusions on the end of the ulna within the elbow joint. In elbow dysplasia, one of the coronoid processesdevelops a crack and separates from the rest of the bone.
4. Incongruity: Misalignment of the bones in the elbow leads to abnormal wear on the cartilage.
The cause of elbow dysplasia is multifactorial. It includes genetics, nutrition and trauma. In next week’s article, I will talk about diagnosis and treatment.
